Un complément alimentaire combinant extraits botaniques, vitamines, minéraux et probiotiques a permis une amélioration significative de l’acné légère à modérée dans un essai clinique de 12 semaines. Publiée par Dermatology Times, l’étude a été menée auprès de 93 femmes adultes présentant une acné non nodulokystique. Le produit, composé notamment de basilic sacré, berbérine, zinc, vitamine D, et de probiotiques, agit sur les causes systémiques de l’acné, incluant stress, déséquilibres hormonaux, dysbiose......
La série La Route des Labos est de retour sur NutriTV ! Dans ce nouvel épisode, direction Bordeaux pour une immersion au cœur de NutriNeuro, l’unique laboratoire français dédié aux liens entre nutrition et cerveau. Vous découvrirez comment les chercheurs de l’INRAE, en partenariat avec des industriels comme Active Inside, valident scientifiquement l’efficacité d’actifs destinés aux compléments alimentaires. Mémoire, stress, humeur, vieillissement cognitif : autant de champs explorés grâce à des technologies de pointe, des études cliniques rigoureuses et une approche......
La première édition du Vitafoods à Barcelone a fermé ses portes la semaine dernière. Ce grand rendez-vous des acteurs de la nutraceutique donne souvent le ton des tendances à venir. En clôture du salon, Nicolas Grelaud et Grégory Dubourg ont dressé un bilan des grandes orientations observées. Pour Nicolas Grelaud, l’intégration de l’intelligence artificielle dans la validation de la prise de compléments alimentaires pourrait renforcer leur légitimité. Grégory Dubourg confirme, soulignant la place croissante de la "scientifisation" du marché, portée par une......
La Commission européenne vient de publier le bilan 2024 du Réseau d’Alerte et de Coopération (ACN), qui recense les notifications de sécurité alimentaire enregistrées par les États membres via le système d’alerte rapide européen (RASFF). Sur 9 460 signalements, seulement 7 % concernent les aliments diététiques, compléments alimentaires et produits enrichis. Les principales non-conformités observées dans cette catégorie relèvent d’allégations de santé non autorisées (37 %), de la présence d’ingrédients interdits –......
Des données issues de l’essai clinique américain VITAL, mené sur plus de 25 000 participants, suggèrent que la supplémentation quotidienne en vitamine D3 (2 000 UI/jour) sur 4 ans ralentirait la perte de longueur des télomères, un biomarqueur associé au vieillissement cellulaire. L’étude a montré une réduction significative de l’attrition des télomères leucocytaires par rapport au placebo, tandis que les oméga-3 marins n’ont pas montré d’effet notable. Ces résultats, obtenus auprès d’un sous-groupe suivi à Harvard, renforcent......
L’Autorité européenne de sécurité des aliments (EFSA) a rendu un avis défavorable sur une demande d’allégation santé liée aux composés phénoliques naturellement présents dans l’huile d’olive. L’évaluation, demandée par QvExtra! Internacional au titre de l’article 14 du règlement (CE) n°1924/2006, visait à établir une relation de cause à effet entre la consommation de ces polyphénols et la réduction du cholestérol LDL et de la pression artérielle systolique, facteurs de risque de maladies coronariennes.......
Danone renforce son positionnement dans la nutrition médicale en acquérant une participation majoritaire dans Kate Farms, société californienne fondée en 2012, spécialisée dans les formules et shakes cliniques d’origine végétale. Les produits de Kate Farms, utilisés en nutrition orale ou par sonde, sont distribués dans les hôpitaux et directement aux patients. L’entreprise a levé 180 millions de dollars depuis sa création et enregistre un chiffre d’affaires estimé à 80 millions de dollars. Avec cette opération, Danone cible le marché en pleine......
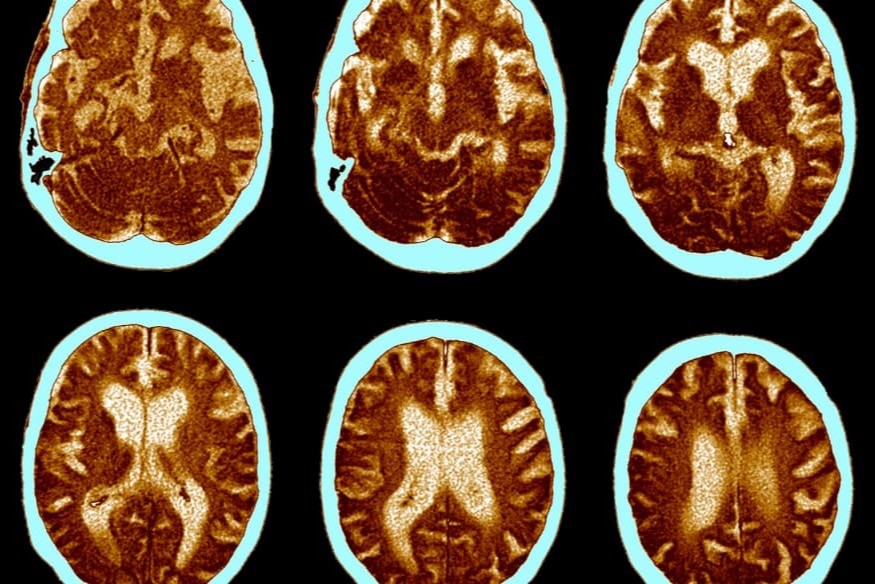
Une étude menée sur plus de 71 000 personnes montre qu’une carence en vitamine D à la naissance est liée à un risque accru de troubles mentaux ultérieurs, notamment la schizophrénie, l’autisme et le TDAH. Coordonnée par l’Université du Queensland et publiée dans The Lancet Psychiatry, l’étude repose sur les données de la cohorte danoise iPSYCH. Les chercheurs appellent à renforcer la supplémentation en vitamine D pendant la grossesse, à l’image de l’acide folique, pour prévenir les troubles neurodéveloppementaux.
Des chercheurs du Karolinska Institutet ont montré qu’une supplémentation en vitamines B6, B9, B12 et en choline ralentit la dégradation du nerf optique dans le glaucome, indépendamment de la pression intraoculaire. Publiés dans Cell Reports Medicine, ces travaux menés sur des rongeurs indiquent que les troubles métaboliques au niveau de la rétine – et non l’homocystéine elle-même – pourraient être en cause dans la progression de la maladie. Chez les souris, la supplémentation a stoppé les dommages, tandis qu’elle les a ralentis chez les rats atteints d’une forme plus......
À l’occasion du salon Vitafoods qui se tient cette semaine, Nutriradio vous donne rendez-vous pour une émission Nutr’Actus exceptionnelle en direct de Barcelone, ce jeudi 22 mai de 14h à 15h. Une heure d’actualités, d’analyses et d’interviews exclusives pour décrypter les grandes tendances du salon, les innovations produits et les enjeux clés du secteur nutraceutique. Un rendez-vous incontournable pour tous les professionnels de la nutrition santé